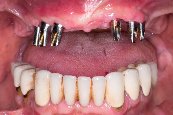
How Bone Density Affects Dental Implants

How Bone Density Affects Dental Implants from Sonoran Desert Dentistry in Scottsdale, AZDental implants are restorations that dentists use to replace missing teeth. Patients interested in this treatment must determine if they are an ideal candidate for this procedure. Systemic health conditions such as low bone density can create challenges for dental surgery. The patient should disclose all health history concerns to the dental team. Together, the patient and dentist can choose a treatment plan that is most beneficial for the patient's unique situation.

3 considerations about bone density and dental implants

Conditions that indicate low bone density include osteoporosis and osteopenia. When reviewing the patient's medical history, a dentist may see this condition as a red flag for dental implant surgery. The dentist must discuss these findings with the patient to determine the most suitable treatment.

1. History of bisphosphonate therapy

Patients with osteoporosis or osteopenia may undergo bisphosphonate therapy to manage the condition. Doctors typically render this treatment intravenously. While the IV bisphosphonates help manage damage done by osteoporosis, this therapy can cause dental complications.

After a dentist extracts a tooth, bone fills in the extraction site. In patients who have taken bisphosphonates, though, this does not always happen. When the extraction site is left exposed, necrosis of the jaw can occur, which is painful and difficult to manage.

A dentist may consider prior bisphosphonate therapy a total contraindication to dental implants. If no alternative replacement options are available, the dentist can consult with the patient's physician to determine the right course of action.

2. Bone height and width

When a tooth is missing for a long time, the jawbone in that area may resorb. Essentially, the bone shrinks because it is no longer supporting a tooth. In this situation, the dentist may recommend additional measures before implant placement. The most common adjunctive treatment is bone grafting, which is necessary if the patient does not have ample jawbone height and width.

3. General healing concerns

After a dentist places dental implants, the jawbone fuses to the titanium prosthesis. This fusion, known as osseointegration, is crucial for the long-term success of an implant. The patient's immune response plays a critical role in osseointegration.

Some vitamins and minerals affect bone density. If a patient is deficient in vitamin D or calcium, the jawbone may not respond well to implant placement. In addition, chronic medical conditions such as heart disease and diabetes can cause delayed healing. For this reason, patients should be in adequate health before undergoing this dental procedure.

Check out what others are saying about our dental services on Yelp: Am I a Candidate for Dental Implants in Scottsdale, AZ

Conclusion

Dentists began widely using dental implants within the last 50 years. This treatment is highly effective at replacing missing teeth, so it has become the standard of care in most situations. However, medical concerns make other options more practical for some patients. To determine the ideal treatment, the patient and dentist must work together to evaluate the patient's medical history. Those wanting to learn more about this dental prosthesis should consult with a dentist today.

Request an appointment or call Sonoran Desert Dentistry at 480-439-0117 for an appointment in our Scottsdale office.

Recent Posts

What Is Required To Place Dental Implants?

The teeth are an essential part of the human body, which is why so many people turn to dental implants. Without enough teeth, it is harder for people to bite into and chew their food and harder to enunciate certain words when speaking. When many teeth are missing, the shape of the face will change,…

Are Dental Implants The Right Choice For You?

There are many benefits to dental implants, and once healed, implants look and feel much like natural teeth. Despite these benefits, they may not be the right choice for everyone. It is important to speak with a dentist and consider the current condition of your health before going forward with the procedure.Before you can get…

Dental Implants May Require A Bone Graft

One of the requirements for a patient to be able to get a dental implants procedure is that the patient must have sufficient jaw bone to anchor the implant. Some patients who do not have adequate bone mass may be able to get implants by first having a bone graft procedure.A dental bone graft procedure…

Recent Posts

Signs You Might Need Dentures Sooner Than You Think

10 Signs You Might Need Dentures Sooner Than You Think

Many patients associate dentures with aging, but these prosthetics are often recommended earlier than expected due to various dental health issues. Dentures help restore function and appearance after significant tooth loss, damage, or gum disease. Recognizing early warning signs can prevent further complications and allow a general or implant dentist to preserve oral health before…

Clear Differences Between Clear Braces And Clear Aligners

5 Clear Differences Between Clear Braces And Clear Aligners

Clear braces and aligners are discreet, effective orthodontic treatments. However, they take different approaches, resulting in different patient experiences. Clear braces use frosted wires and ceramic brackets that remain fixed to the teeth, while clear aligners are removable trays worn throughout the day. These differences impact everything from aesthetics and comfort to your daily routine,…